Home
Product
Case
Contact
Home
About
Product
Case
News
Contact
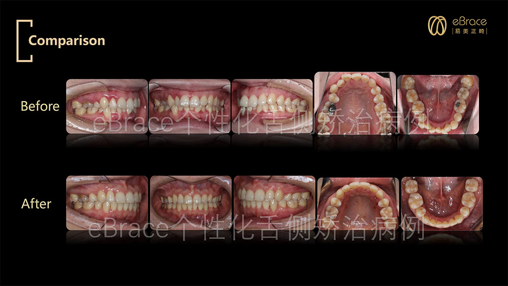
eBrace Case three
Source:ebrace Date: 2021-05-24